Dr. Luigi Piatti
Il Dr. Luigi Piatti è nato a Lecco, dove ha studiato sino a conseguire la maturità classica al liceo Manzoni e ha proseguito gli studi a Pavia, alunno del collegio Ghislieri, laureandosi in Medicina e Chirurgia e poi specializzandosi in Cardiologia.
Figlio d’arte (il padre Carlo era anch’egli cardiologo) è molto legato al suo territorio, anche per la passione per le sue montagne, ha sempre vissuto e lavorato nel lecchese, dividendo la sua vita fra famiglia (sposato con un figlio), lavoro ed attività di tempo libero in montagna.
Ha coniugato montagna e medicina militando nel Corpo Nazionale Soccorso Alpino per circa vent’anni.
Attività Ospedaliera
Dopo aver lavorato per oltre trent’ anni in Cardiologia all’Ospedale di Lecco, a fine 2022 ha cessato tale attività, avendo raggiunto i limi di età per il pensionamento.
Per circa trent’anni si è dedicato alle attività di Emodinamica, la branca della Cardiologia che, negli ultimi anni, ha affinato tecniche di trattamento delle cardiopatie mediante interventi effettuati con cateteri.
Gli anni della formazione
Negli anni di formazione, ha dedicato gran parte del tempo libero per “imparare il mestiere, andando a bottega” presso altri centri (soprattutto l’ospedale di Bergamo); è quindi stato protagonista nell’introdurre all’ospedale di Lecco le attività di angioplastica coronarica (trattamenti tran-scatetere per curare angina e infarto, determinati da occlusioni delle arterie del cuore, le coronarie).
L'attività all'Ospedale di Lecco
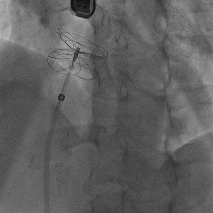
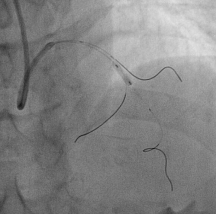
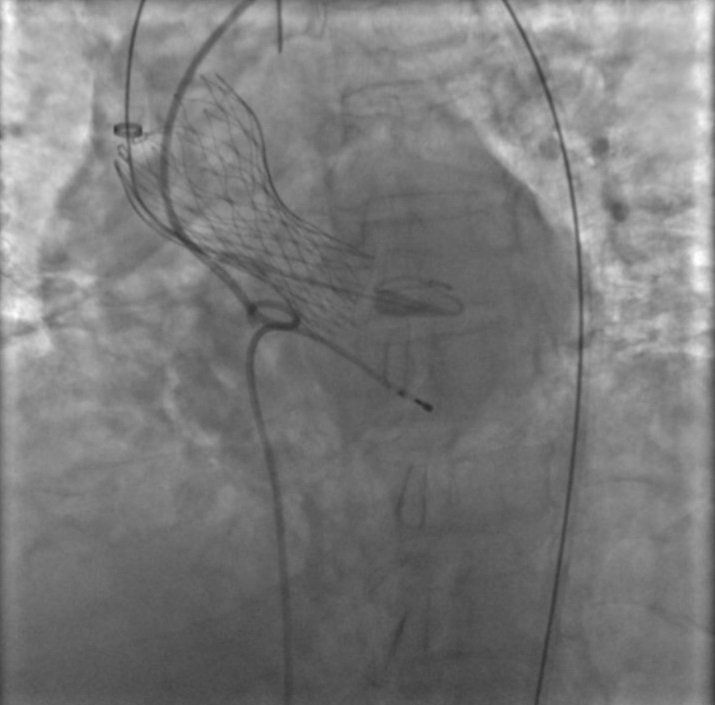
Dal 2010 al pensionamento è stato responsabile dell’unità di Emodinamica dell’Ospedale di Lecco, ove nel corso degli anni, oltre all’angioplastica coronarica, sono stati intrapresi anche più complessi trattamenti trans-catetere di cardiopatie strutturali: sostituzione aortica trans-catetere (TAVI), trattamento trans-catetere della mitrale ed interventi di chiusura di pervietà del forame ovale (PFO), difetti interatriali (DIA), difetti interventricolari (DIV) e dell’auricola sinistra ecc.
La fiducia con i pazienti
Convinto dell’utilità di stabilire solidi rapporti di reciproca fiducia con i pazienti, da oltre vent’anni svolge attività libero-professionale a Lecco, ove esercita nel suo studio medico individuale.
Attività interventista attuale
Dopo aver lasciato l'ospedale di Lecco, , in caso di trattamenti interventistici che necessitino di ricovero, il Dr. Piatti è in grado di riferire i pazienti che ha in cura sia all’Ospedale di Lecco, con cui mantiene rapporti di collaborazione, che presso strutture ospedaliere convenzionate col sistema sanitario, ove ha possibilità di intervenire personalmente.

















